[눈]역대급 소세지눈이라 스트레스 만땅이었는데 스트레스 탈출 ㅎㅎ
2025-06-16 16:50
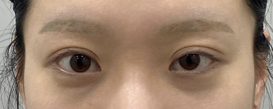
<수술전>

<수술후>

어릴 적부터 짝눈에 대한 스트레스가 심했고 사진을 찍으면 두꺼운 쌍꺼풀 때문이 눈이 졸려 보였어요
쌍꺼풀 수술을 찾아보다가 바나나 성형외과를 알게 되었고 방문해 상담을 받기로 결정했어요
처음에는 눈매교정, 비절개 쪽으로 알아보다가 원장님이 직접 제 눈을 보시고 비절개보다 절개 쪽이 눈이 안 풀리고 짝눈교정이 될 것 같다고 말씀하셔서 절개 쌍꺼풀수술을 하기로 했습니다
저는 당일수술을 원해서 극소마취로 진행했는데 생각보다 덜 아팠고 붓기도 심하지 않았어요
며칠뒤에 약간의 통증과 붓기가 찾아오긴 했는데 병원에서 처방받은 붓기약과 연고를 바르니 금세 사그라들더라구요
수술 일주일 뒤에 실밥을 제거하고 원장님께서 수술이 잘 되었는지 다시 봐주셨어요
그리고 궁금한 점이나 통증이 있을 때 실장님과 연락하면서 사후 관리에 대한 도움을 받았어요
수술한지 두 달 좀 지났는데 아예 티가 안나고 주변사람들은 말 안 하면 모르더라구요^^
지금은 왜 더 일찍 안했을까 생각해요 ㅠㅠㅠ
짝눈이나 저처럼 두꺼운 쌍커풀로 인해 스트레스 받으시는 분들에 게 적극추천드리고 싶어요
원장님 덕에 졸린 눈 탈출했습니다! ㅎㅎ